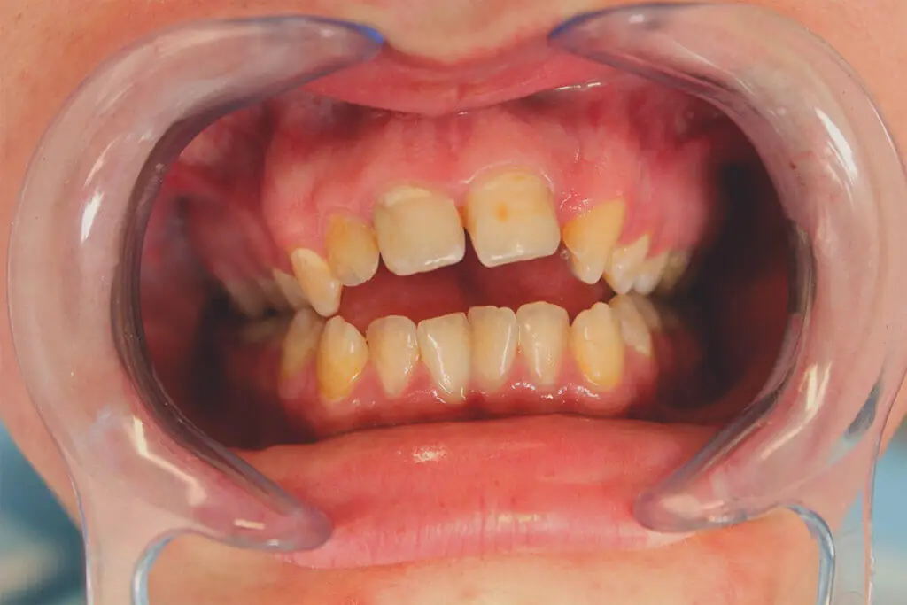
Róbert fiatal férfi páciens, tanuló. Komplex problémával keresett fel, diagnózisa során kiderült, hogy nyitott harapása mellett kétoldali keresztharapása is van, illetve bal felső második kismetsző fogát korábban eltávolították.
A kezelés során több lépcsőben oldottuk meg az eltérést, a fogszabályozó levétele után cirkon híddal pótoltuk a hiányzó fogat és a nagy kiterjedésű tömésekkel rendelkező front fogakat.
Elégedett pácienseink véleménye a fogorvosokról, fogászati kezeléseinkről.
KIVÁLÓ 76 vélemény alapján Közzétéve itt: Helga FerwágnerA Trustindex hitelesíti, hogy a vélemény eredeti forrása Google. Kedves, magas szakértelemmel bíró személyzet, kellemes, tiszta környezet.Nálam abszolút 5*-os eredményt értek el bő 1 év kitartó munkájával. Azt sajnálom, hogy nem hamarabb szántam rá magam a fogszabályzásra.Közzétéve itt: József HorváthA Trustindex hitelesíti, hogy a vélemény eredeti forrása Google. Nagyon kedvesek, segítőkészek, át lehet beszélni mindent. Én személy szerint rettegéssel mentem fogorvoshoz, mert muszáj volt, segítettek lelazulni, beszélgettek velem kicsit, utánna simán 5 perc alatt vették ki mind a 2 bölcsesség fogamat. Kontrollra kapott időpontomon is minden gördülékenyen ment. Időpontot kicsit nehezebb szerezni, és az árát is megkérik, de mindenki aki fél egy kicsit is a fogorvostól és tárcája megengedi az jöjjön el és adja meg az esélyt nekik. Mostantól csak ide járok.Közzétéve itt: Gergely MohosA Trustindex hitelesíti, hogy a vélemény eredeti forrása Google. Kedvesek, mosolygósak és a legjobbak a szakmában!!!Ajkáról járok, de megéri az utazás, mert maximálisan elégedett vagyok a munkájukkal! Ezúton is köszönöm Nekik❤️Közzétéve itt: Klaudia NagyA Trustindex hitelesíti, hogy a vélemény eredeti forrása Google. Nagyon kedvesek és megbízhatóak, és mellette pedig precíz munka!☺️
Székesfehérvári fogászati rendelőnk fogmegtartó kezeléseinek, fogpótló beavatkozásainak, szájsebészeti és implantációs, valamint fogszabályozó kezeléseinek árát egyaránt a minőség-ár megfelelő értékaránya jellemzi. Nagy figyelmet fordítunk a felhasznált alapanyagaink minőségére, hogy valóban tartós megoldást nyújtsunk minden egyes páciensünk számára.
Tapasztalt, szakképzett és empatikus orvosok segítenek.
Modern technológia, profi megoldások, barátságos környezetben.
A korszerű eszközeinknek és a modern technológiának köszönhetően.
Weboldalunkon könnyen és gyorsan tud hozzánk időpontot foglalni.
Pácienseink 98%-a elégedett a fogászati ellátással.
Kérjen időpontot telefonon, vagy az űrlapon keresztül.
Töltse ki az űrlapot, kattintson a bejelentkezés gombra és hamarosan felvesszük Önnel a kapcsolatot.