Jelentkezzen be hozzánk!

Eseteink

Ha elszíneződtek vagy foltossá váltak a fogak, vagy ha egyszerűen nem elégedett a fogai színével, akkor javasoljuk a fogfehérítést mint lehetőséget, hogy szebbé tegyük mosolyát. Székesfehérvári Várfok Dentalban egyaránt van lehetőség rendelői és otthoni fogfehérítésre is.

 
Gyökér tömés
 

A két kép 15 hónap különbséggel készült, az egyik a gyökértömés végén, a másik pedig egy kontroll vizsgálaton.

Ciszta mérete látványosan csökkent, majdnem teljesen elmúlt, a páciens panaszmentes 🙂
Orvos válaszol youtube
Orvos válaszol youtube
 
Cirkon koronák
 
Két felső nagymetsző töredezett, elszíneződött gyökérkezelt fogak
voltak, rossz állapotúak voltak. Helyreállításuk üvegszálas csapozást
követően szóló anatómikus cirkon koronákkal történt. Összesen 4
korona.

Szájrehabilitáció

 
Teljes szájrehabilitáció, melynek során megszüntettük az alábbi problémákat: rágózónák hiánya mindkét oldalt, emiatt elkopott fogazat, valamint réses, kicsi fogak.
Kezelés másfél évet ölelt fel. Igazi csapatmunka volt: dr kolarovszki béla 2-2 implantátumot ültetett be az alsó állcsontba. Ezt követte a tervezés, majd a fogak preparálása, ideiglenes pótlás, amjd végleges pótlás. A végén pedig 2 db tabletop betét.
A munka során digitális technikát alkalmaztunk( csonkok szkennelése), labor is digiálisan dolgozott és emelte meg a harapást.
Szerencsére meg tudtuk úgy oldani hogy voltak fogak (összesen 6) amit nem is kellett lecsiszolni, megmaradhattak eredeti formájukban.
 
Fémkerámia koronák
 
Páciensünk alsó front fogai nagyon elkoptak. Ez már nem csak esztétikai hanem funkcionális problémát is okozott a harapás mélyebbé válása miatt.
Dr. Bakonyi Panna az alsó fogak koronázását javasolta. Szóló koronák kerültek a fogakra fémkerámia leplezéssel, így könnyebb a tisztításuk és élethűbbek is.
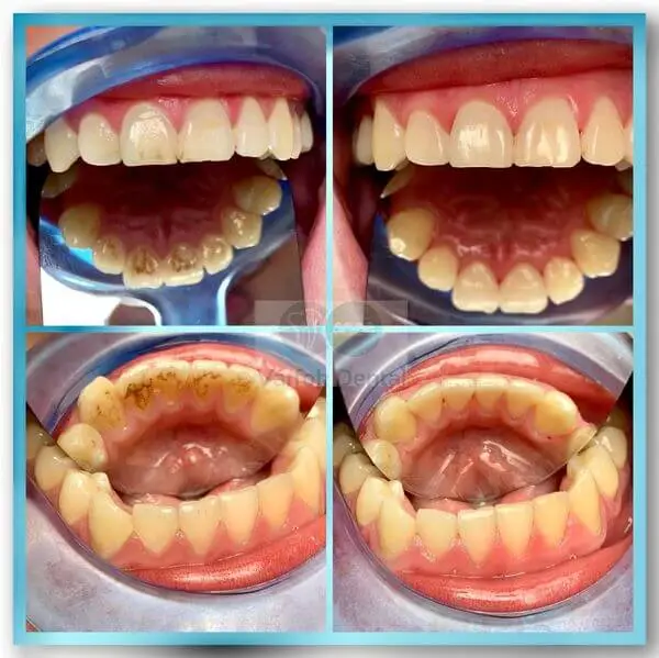
Fogkő eltávolítás
 
Fogaink egészségének megőrzése érdekében nagyon fontos a rendszeres fogkő eltávolítás beiktatása.
A rendszeres dentálhigiéniai kezelés segít a súlyos fogágybetegségek kialakulásának elkerülésében, amik akár a fogak elvesztéséhez is vezethetnek.
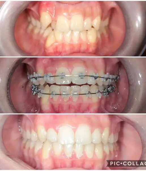
Fogszabályozás
 
Fiatal páciensünk elülső nyitott harapásának kezelésére első lépésként belső fogszabályozó készüléket kapott, melynek funkciója a felső fogív tágítása, felső nagyőrlők mozgatása.
A következő lépés a rögzített készülék felragasztása volt alsó és felső fogíven, eltérő időpontokban.
A kezelés kb. 2 évig tartott.
Cirkonkerámia korona
 
Páciensünk elégedetlen volt a felső frontfogainak régi pótlásával és fogainak esztétikai állapotával.
Dr. Bakonyi Panna az állapotfelmérést követően a felső régi fémkerámia pótlás cseréjét javasolta cirkonkerámiára. Az alsó jobb oldali foghiányra, illetve a nagymértékben sérült fogakra szintén cirkónium koronák készültek.
A többi fogtól jelentősen eltérő színű szemfogak fehérítése után értük el a tökéletes esztétikai eredményt.
Kivehető fogszabályozó készülék
 
A kivehető fogszabályozó készülékeket leggyakrabban gyermekkorban használjuk.
Fontos, hogy gyermekkorban még lehet irányítani az állcsontok növekedését így későbbi komplikációktól menthetjük meg páciensünket, valamint a fennálló problémát már nagymértékben javíthatjuk. Segítségével a rögzített készülékkel történő kezelés rövidebbé és egyszerűbbé válik.

Cirkonkerámia korona

Meglévő fémkerámia koronák nem illeszkedtek pontosan, alakjukban és színükben is eltérőek voltak a saját fogaktól, így cirkonkerámiára cseréltük őket, melyekkel az eredmény élethűbb és esztétikusabb lett.

fogászat eset - referencia székesfehérvár
fogszabályozás előtte utána
Fogszabályozás és direkt héj referencia előtte utána

Fogszabályozás és direkt héj

Dr. Csulak Fruzsina fogszabályozó szakorvos és Dr. Bakonyi Panna fogszakorvos közös munkájának eredménye ez a gyönyörű mosoly.

Kedves Páciensünk erősen torlódott fogsora miatt keresett fel minket. Fém Damon önligírozó készülék került fel az alsó és a felső fogívre is, 3 hónap különbséggel. Az alsó fogív fogszabályzása jelenleg is tart. A felső készüléket közel 1,5 év után távolítottuk el.
A levételt követően Dr. Bakonyi Panna direkt héjakkal tette még ragyogóbbá Páciensünk mosolyát.

fogszabályozás előtte utána
Fogszabályozás és direkt héj referencia előtte utána

Zárt kürettálás

Páciensünk erősen gyulladt és vérző ínye miatt keresett fel minket. Dr. Erős Roland Ákos egy parodontológiai státuszfelvétel után zárt kürettálással enyhítette a panaszokat.

A megfelelő kezelések hatására meghosszabbodhat a fogak élettartama és az íny ismét szép és egészséges lehet.

eset - fogszabáyozás
fogszabályozás előtte utána

Fogszabályozás

A kezelés célja a torlódás és a keresztharapás rendezése, a csírahiány következtében kialakult foghiány megszüntetése és a szép mosoly kialakítása volt.

A fogászati probléma megoldására a fém fogszabályozó készüléket ajánlottuk mindkét fogívre.

A kezelés kb. 2 évig tartott.
A fogszabályozó szakorvosunk, Dr. Csulak Fruzsina szakértelmének és páciensünk kitartásának eredménye a képeken látható gyönyörű mosoly

fogszabályozás előtte utána

Fogpótlás – implantátum beültetése

Nagyon kedves páciensünk egy régi pótlásával kapcsolatban keresett fel minket, melyen már látszott az idő múlása, elszíneződött, nem illeszkedett tökéletesen és esztétikai szempontból sem volt már a legjobb.

Az állapotfelmérést követően kapott a hölgy egy árajánlatot és megegyeztünk a kezelés lépéseiben. A hiányzó rágófogak helyére implantátumokat helyezett be Dr. Kolarovszki Béla. Az elöregedett körhidat pedig Dr. Bakonyi Panna cserélte le egy színben, fogformában jobban illeszkedőre.

A csapatmunka eredménye egy sokkal szebb és természetesebb mosoly lett.

eset - fogszabáyozás
fogszabályozás előtte utána

Fogszabályozás – állkapocsízületi probléma

A szép, szabályos fogazat nem kizárólag esztétikai kérdés. A fogszabályozás a megelőzés, a fogmegtartás lényeges eszköze. Csak a szabályos fogsor teszi lehetővé a fogazat könnyű tisztítását és az egyszerű szájhigiénét. A torlódott fogazatban a lepedék megtapadása fokozott, ami a fogszuvasodás és a különböző fogágybetegségek szempontjából jelentős rizikófaktor. A nem jól záródó fogsor fájdalmas állkapocsízületi problémákat eredményezhet.

Rendelőnkben a modern fogszabályozó eszközök széles skálája megtalálható. Páciensünk az alsó és a felső fogívére is az úgynevezett önligírozó esztétikus készüléket választotta.
Közel másfél évig tartott a kezelés, melynek során páciensünk rendkívül közreműködő volt.

A rögzített készülék eltávolítása után mindkét fogívre retainert ragasztottunk. A retainer az alsó és felső frontfogakra, azok belső, nyelv felőli felszínére fogszínű tömőanyaggal rögzített vékony fix helybentartó fémszál. Ezek azért szükségesek, mert a frontfogak nagyobb eséllyel mozdulnak el, és nagyon fontos, hogy az elért eredményt egy életre szólóan megtartsuk.

fogszabályozás előtte utána

Esztétikus, fehér, élethű élpótlás

Tapasztalataink alapján sokszor előfordul, hogy baleset következtében letörik a metsző vagy szemfogból egy darab. A legtöbb ember esetében már a legkisebb hiányzó fog darab is látványos, így érthető, hogy mindenki hamar szeretné pótoltatni a hiányzó részt, hogy az a lehető legesztétikusabb legyen és eredeti funkcióját is betöltse.

Egy esztétikus, fehér, élethű élpótláshoz utánozni kell a fogak természetes felépítését. Ehhez különböző színű és fényáteresztő képességű rétegeket kell egymásra építeni. Prémium minőségű tömőanyagainknak köszönhetően tökéletes esztétikai hatást tudunk elérni.

eset - fogszabáyozás
Fémkerámia hd eltte utána

Háromtagú cirkon kerámia híd

Páciensünk egy meglévő háromtagú fémkerámia híd kapcsán keresett fel minket. Nem volt elégedett az évekkel ezelőtt készült pótlás színével, formájával és méretével, hiszen túl nagynak érezte a fogakat.

Dr. Bakonyi Panna az esztétikai fogászat specialistája rendelőnkben. Egy állapotfelmérést követően a Doktornő és páciensünk a meglévő pótlás cseréje mellett döntöttek.

A fémkerámia hidat cirkon kerámiára cseréltük, mely esztétikailag sokkal jobban illeszkedik a fogsorba, színét, méretét és formáját tekintve is. Szinte észrevehetetlen, hogy pótlásról van szó.
A két kép közti különbség önmagáért beszél

Fémkerámia hd eltte utána

Mélyharapás

Fiatal páciensünk erősen torlódott fogsora és mélyharapása miatt keresett fel minket. Az állapotfelmérést követően felső esztétikus és alsó fém önligírozó készülék mellett döntött. A fogszabályozó készüléket részlegesen ragasztottuk fel, és ezzel egyidejűleg úgynevezett tolórugót és harapásemelőt is kapott.

A harapásemelést a fogsorok egymáshoz viszonyított helyzetének tartós változtatására használjuk. Leggyakrabban mélyharapás esetén alkalmazzuk, de gyakori keresztharapás és túlharapás esetén is.

A kezelés sikeressége nagymértékben függ attól, hogy a páciens minden utasítást betartson. Tehát ha szükséges lelkiismeretesen használja az intermaxilláris gumikat, melyeket csak étkezéskor és fogmosáskor kell kivenni, illetve fontos, hogy nagyon alaposan tisztítsa a készüléket.

Közel 8 hónap után felragasztottuk a hiányzó bracketeket is. A teljes kezelés 16 hónapot vett igénybe és az eredmény rendkívül látványos: egy újabb magabiztos mosoly és egy újabb boldog, elégedett páciens

eset - fogszabáyozás
eset - fogszabáyozás

Láthatatlan, sínes fogszabályozás

Első lépésként egy ultramodern intraorális scanner segítségével 3D lenyomatot veszünk a teljes fogazatról. Ezt követi a digitális tervezés, mely során pontos és precíz számításokkal megállapítjuk, hogy milyen változásra és milyen eredményre számíthat a páciens a kezelés végeztével.

A 3D lenyomat alapján készült átlátszó síneket napi 20-22 órát kell hordani, de szükség esetén bármikor kivehetőek, így az egyik legnagyobb előny, hogy nem befolyásolja a kezelés az étrendet.
Fogmosáskor és étkezéskor ki kell venni a síneket a szájból, mely egy egyszerű mozdulattal kivitelezhető. Tisztításuk könnyű, így viselésük nem csak rendkívül esztétikus de higiénikus is.

Már nem kell arról szólnia a mindennapoknak, hogy rejtegetjük a fogszabályozó készüléket.  

eset - fogszabáyozás

Fogszabályozás, Maryland-híd

Fiatal páciensünk csírahiányos fogazattal rendelkezett, hiányoztak a felső kismetszőfogai. Csírahiány esetében arról van szó, hogy a tejfogat felváltó maradó fog csírája hiányzik, tehát a tejfog kiesése után nem nő ki a maradó fog.

Dr. Csulak Fruzsina fogszabályozó szakorvos
Mindkét fogívre fém fogszabályozó készülék került felhelyezésre, mellyel első körben az elülső keresztharapást szüntettük meg, majd résnyitásokkal minden fogat a helyére rendeztünk. Körülbelül 16 hónapig volt fent az említett készülék.

Dr. Bakonyi Panna – esztétikai fogászat
A levételt követően a front fogak pótlása következett. Páciensünk fiatal kora miatt az implantálás egyelőre nem jöhetett szóba, hiszen a testmagasság növekedése, és az állcsontok érése a pubertáskor végén, kb. 16-18 éves kor körül ér véget. Egy egy olyan megoldást kellett találnunk, mely esetében nincs szükség a szomszédos, ép fogak lecsiszolására.

Maryland-hidat készíttettünk a fogtechnikussal, melynek legfőbb előnye, hogy a két szomszédos fog belső, nyelv felőli részén rögzítjük anélkül, hogy azokat lecsiszolnánk.

fogszabályozó készülék előtt - után
eset - fogszabáyozás
eset - fogszabáyozás

Préskerámia betét

A préskerámia betét akkor jöhet szóba, ha a tömés már nem elég és fennáll a fog letörésének, elvesztésének az esélye.

Ez nem más mint egy nagy méretű, fogtechnikus által készített tömés, melyre akkor van szükség, ha a szuvasodás a foganyag nagy területét tette tönkre, melyet el kell távolítani.

A legfontosabb tudnivalók a préskerámia betétekről:
🟦 kisörlő vagy nagyörlő fogakba szoktuk készíteni
🟦kiterjedésük szerint létezik: inlay (fog rágófelületének központi részét fedi le), onlay (a fogak csücskére is kiterjed), overlay (rágófelszín egészére kiterjed)
🟦 az előkészítést követően a fogtechnikai laborban készülnek
🟦 speciális, résmentes ragasztási technikával illesztik a helyére
🟦 nem zsugorodik, alaktartó
🟦 anyagát tekintve lehet: kompozit, műanyag, kerámia vagy arany

Jelen esetben páciensünknek préskerámia overlay-t készítettünk, mely az a betét, ami a legnagyobb felületet fedi le. A rágófelszín egészén kiterjed, ezért gyakran borítóbetétnek is nevezik.

eset - fogszabáyozás

Cirkonkerámia implant korona

Páciensünk foghiány miatt keresett fel minket és kért időpontot fogászati implantátummal kapcsolatos állapotfelmérésre.

Ezt követően előre egyeztetett időpontban a szájsebész szakorvos elvégezte a műtétet, tehát behelyezte a 22-es fog helyére a titánból készült implantátumot, azaz a műgyökeret az állcsontba.

A behelyezési folyamat teljesen fájdalommentes, helyi érzéstelenítéssel és sterilizált környezetben történik. A műtét után regenerációs időszak következik. Ez az időszak változó, általában 2-6 hónap elteltével lehet a mű foggyökérre egy tetszőleges esztétikus fogpótlást elkészíteni. Páciensünk a cirkonkerámia implant korona mellett döntött.

eset - fogszabáyozás
eset - fogszabáyozás
eset - fogszabáyozás

Fogszabályozás

Kedves páciensünk torlódott fogsora miatt keresett fel minket. Az állapotfelmérést követően az esztétikus önligírozó készülék mellett döntött, mely nagy népszerűségnek örvend, különösen felnőtt pácienseink körében. Előnye, hogy a fogakra ragasztott brackettek fogszínűek vagy átlátszóak, így kellemesebb hatást nyújtanak.

A fogszabályozás közel másfél évig tartott. A készülék levételét követően a 11-es metszőfog élpótlása következett. Prémium minőségű, magas esztétikájú tömőanyagot használunk az élpótlásokhoz. Alapos színmeghatározás után a szomszédos fogak alakját figyelembe véve alakítjuk ki az adott fogat.

Az esztétikai fogászat előtérbe kerülésének köszönhetően számos megoldás áll rendelkezésünkre a tökéletes mosoly eléréséhez.

eset - fogszabáyozás
eset - fogszabáyozás

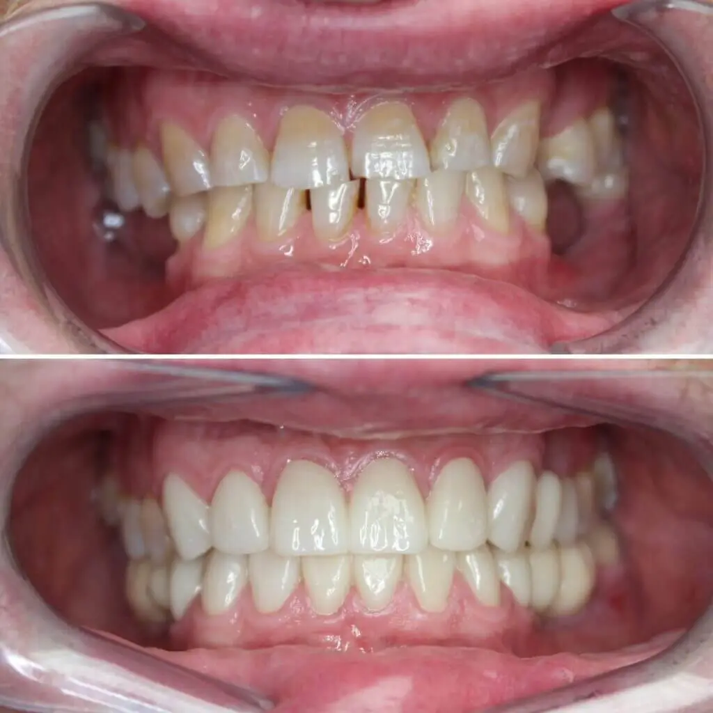
Fogszabályozás

Páciensünk elégedetlen volt a mosolyával, ezért felkereste rendelőnket, hogy időpontot kérjen fogszabályozó szakorvosunkhoz, Dr. Csulak Fruzsinához. A konzultáció alkalmával az esztétikus Damon fogszabályozó készülék mellett döntöttek, melyet a későbbiekben mindkét fogívre felhelyezett a Doktornő.
Közel egy év után az említett készülék levételét követően, páciensünk az esztétikai fogászat szakértőjéhez, Dr. Bakonyi Pannához került, aki a réseket magas esztétikájú, speciális tömőanyaggal zárta. Az anyag színe tökéletesen harmonizál a fog eredeti színével, ezáltal észrevehetetlen, hogy hol lettek kiegészítve a fogak.

A közös munka eredménye a képen látható gyönyörű fogsor, mellyel a magabiztos mosoly garantált.

eset - fogszabáyozás
eset18

Stéges rögzítésű fogsor

Páciensünk az implantálást követő gyógyulási időszak után felső stéges rögzítésű fogsort kapott.

Az implantátumok és a stéges megtámasztás alkalmazásának egyik legnagyobb előnye, hogy a fogsor rögzítése stabil, fogsorragasztó alkalmazása nélkül, hiszen az implantátumokra rápattintható.

Az eredmény a magabiztos, önfeledt mosoly.

eset18

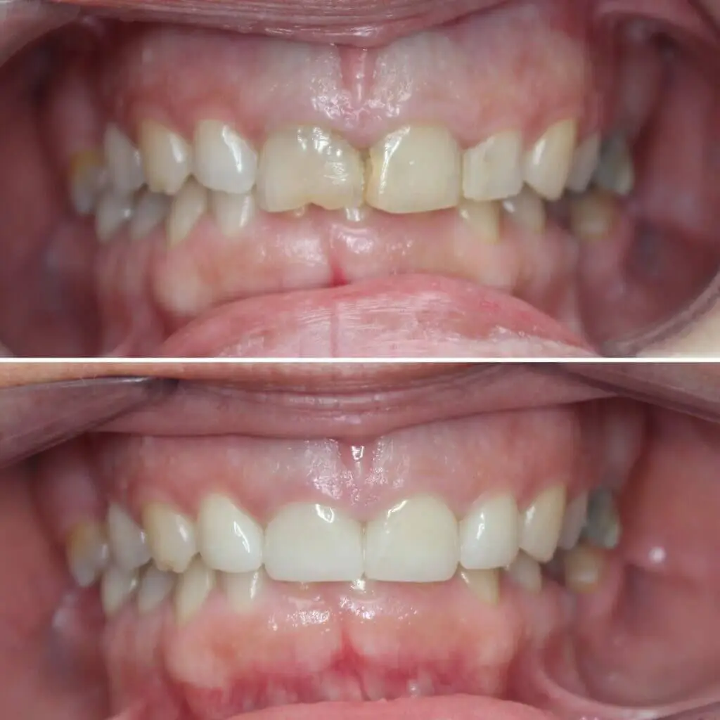
Direkt héjak

Fiatal páciensünknek fogszabályozó kezelés után készítettünk direkt héjakat a felső kismetsző fogakra, melyek a szomszédos fogaktól eltérően látványosan kisebb méretűre fejlődtek.

A direkt héjakat esztétikai foghibák esetében ajánljuk. Előnye, hogy nem kell rá várni, hisz helyben készítjük és a fogakat nem kell hozzá csiszolni a legtöbb esetben.

Fogkő eltávolítás

eset - fogszabáyozás
eset - fogszabáyozás
mihaly-fogszabalyozas-foghuzas-utana

Barbara mélyharapás kezelése önligírozó fogszabályozóval

mihaly-fogszabalyozas-foghuzas-utana

Barbara esetében a fogak rendezetlensége mellett extrém mélyharapást és harapáseltérést is kellett kezelnünk, a kívánt mosoly elérése érdekében. Emellett külön figyelnünk kellett arra, hogy a kezelés alatt a páciens külföldre is utazik majd hosszabb időre, így eszerint választottuk ki a megfelelő fogszabályozó készüléket.

Mihály komplex esete, 2 fogíves fogszabályozás

mihaly-fogszabalyozas-foghuzas-utana

Fiatal férfi páciensünk szerette volna esztétikailag rendbe hozni rendezetlen fogsorát. Ezért megkeresett miket, hogy tegyük rendbe az eltéréseket. Vizsgálat után kiderült, hogy harapása extrém módon nyitott és fogai torlódnak.

mihaly-fogszabalyozas-foghuzas-utana
eset

Róbert komplex esete, fogszabályozás cirkon híd

eset

Róbert fiatal férfi páciens, tanuló. Komplex problémával keresett fel, diagnózisa során kiderült, hogy nyitott harapása mellett kétoldali keresztharapása is van, illetve bal felső második kismetsző fogát korábban eltávolították.

Rólunk mondták

Elégedett pácienseink véleménye a fogorvosokról, fogászati kezeléseinkről.

Időpontfoglalás

Kérjen időpontot telefonon, vagy az űrlapon keresztül.

Minden kollégánk odafigyel Önre, tegye fel kérdését nyugodtan.

Közösségi oldalaink:

Jelentkezzen be hozzánk!

Töltse ki az űrlapot, kattintson a bejelentkezés gombra és hamarosan felvesszük Önnel a kapcsolatot.

Kedves Pácienseink,

Rendelőnk zárva tart az alábbi napokon:

Május 22. péntek.
Május 25. Hétfő – Pünkösd.
 
Megértésüket köszönjük,

A Várfok Dental Csapata

Adatvédelmi áttekintés

Ez a weboldal sütiket használ, hogy a lehető legjobb felhasználói élményt nyújthassuk. A cookie-k információit tárolja a böngészőjében, és olyan funkciókat lát el, mint a felismerés, amikor visszatér a weboldalunkra, és segítjük a csapatunkat abban, hogy megértsék, hogy a weboldal mely részei érdekesek és hasznosak.